Natur und Technik (Bio/Chemie)

Dein neues Fach "Natur und Technik"

Kann ein Mensch im Kopfstand trinken? Warum kann ein Vogel fliegen? Wie funktioniert die Fortpflanzung bei Pflanzen? Kann ich Wasser über 100°C erhitzen?

Sind das Fragen, die dich interessieren, dann wirst du Natur und Technik lieben!

  • Im Experimentiersaal bekommst du Zeit diesen Fragen auf den Grund zu gehen.
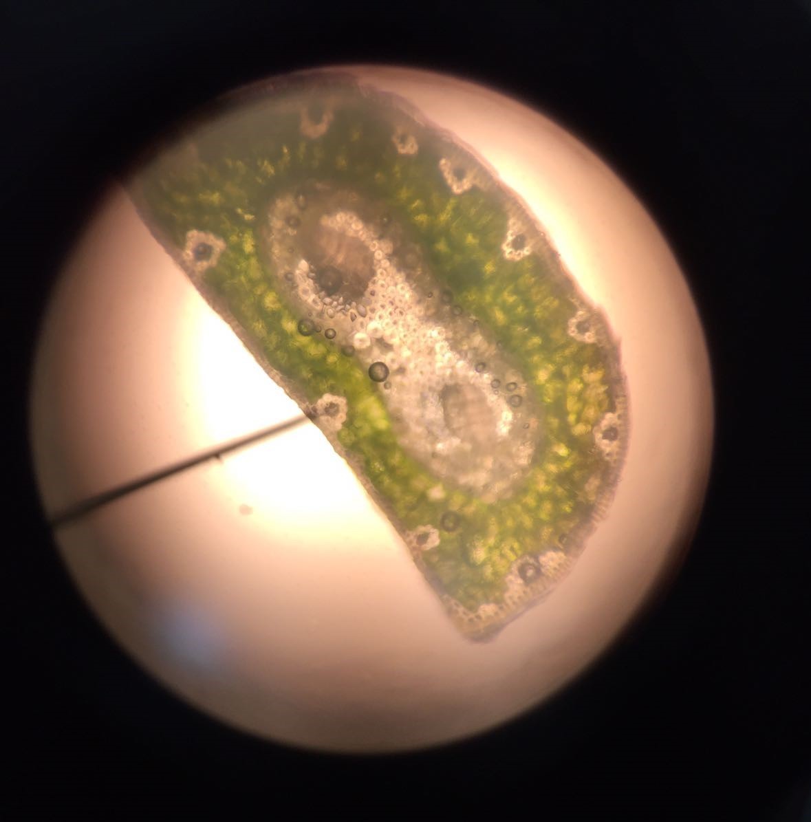
  • Im Mikroskopierraum kannst du deine eigenen Zellen betrachten.
  • Du wirst deine wichtigsten Organe kennenlernen und im Hofgarten einige Pflanzen bestimmen.

 

Dieses Video zeigt dir ein paar Eindrücke aus dem Fach Natur und Technik.

Klick rein und viel Spaß dabei!

Nur am Platen gibt es den naturwissenschaftlichen Zweig ab der 8. Jahrgangsstufe!

Das erwartet dich dann:                    Video Chemie

Einblicke in unsere Fachräume

Natur und Technik Fachraum

Chemie Übungssaal

Natur und Technik Fachraum Tafel

Chemie Lehrstufensaal

Mikroskopierraum

Natur und Technik-Lehrer am Platen

Unsere fleißigen Platen-Bienen

Fleißig, fleißig...

Unsere Schüler sind alle fleißig, aber die fleißigsten Arbeiterinnen befinden sich bei uns auf dem Dach. Sechs Bienenvölker sammeln an sonnigen Tagen Blütennektar im Hofgarten. Und was machen die Bienen im Winter? Genießen sie den herrlichen Ausblick über Ansbachs verschneite Dächer?

Ein paar Eindrücke findest du in der Bildergalerie!

Finde den richtigen Weg!

Gib bei deiner Anmeldung am Platen an, welche Biene du sein möchtest, dann bekommst du ein Glas Platen-Honig!

Experimente zum selber machen!

Experiment mit Stärke

Langeweile im Lockdown?! Nicht mit Chemie am Platen

Das P-Seminar Chemie arbeitet dieses Jahr an einer Experimentalshow für unsere Grundschüler aus Ansbach und Umgebung. Normalerweise laden wir euch zu uns ein, damit ihr live Experimente bestaunen und selbst im Schülerlabor Versuche ausprobieren könnt. Aber was ist im Moment noch normal 😉 Daher haben die Schülerinnen und Schüler des P-Seminars eine kleine Auswahl an Experimenten für euch zusammengestellt, die ihr auch ganz einfach selber machen könnt. Ein bisschen Platen-feeling bei euch zu Hause. Viel Spaß dabei! Wir sehen uns bald am Platen!

J. Hartmann und das P-Seminar Chemie

Die Versuchsanleitungen könnt ihr euch ausdrucken. Der QR-Code verlinkt euch zum Video!

Versuchsanleitungen

Bildergalerie

Zum Seitenanfang | Zurück zu 
Shortlink